Atención materno fetal

ATENCIÓN MATERNO FETAL ESPECIALIZADA Y ULTRASONIDO

PARA CADA ETAPA DEL EMBARAZO

EN AMAL'NAI, CUIDAMOS TU EMBARAZO DESDE EL PRIMER TRIMESTRE HASTA EL NACIMIENTO.

Nuestro enfoque combina la experiencia médica en medicina materno fetal con tecnología de vanguardia en ultrasonido, brindando diagnósticos precisos y atención personalizada para ti y tu bebé.

ULTRASONIDOS Y ESTUDIOS DEL EMBARAZO

Nuestros estudios están diseñados para acompañarte en cada etapa del embarazo, desde la translucencia nucal hasta la evaluación del crecimiento fetal en el tercer trimestre. Cada ultrasonido busca identificar alteraciones estructurales, cromosómicas y monitorear el desarrollo del bebé.

Ultrasonido embarazo
Ultrasonido Genético

ULTRASONIDO ESTRUCTURAL, GENÉTICO Y DOPPLER

Contamos con estudios avanzados para evaluar la estructura fetal, el flujo sanguíneo uterino y fetal, y la formación de órganos como el corazón, el cerebro y la columna vertebral.

Nuestros especialistas realizan:

Ultrasonido Genético (11–14 semanas)
Ultrasonido Estructural (18–24 semanas)
Ultrasonido Doppler (En embarazos de alto riesgo)

ESTUDIOS DEL PRIMER, SEGUNDO Y TERCER TRIMESTRE

Desde la semana 11, realizamos estudios clave para detectar síndrome de Down, ausencia de hueso nasal o anomalías en la translucencia nucal.

En trimestres posteriores, monitoreamos el crecimiento y desarrollo fetal, la placenta, el líquido amniótico y la función del cordón umbilical.

Doctora realizando ultrasonido
Ultrasonido materno fetal

EXPLORA NUESTROS ESTUDIOS
MATERNO FETALES ESPECIALIZADOS

En Amal’nai ofrecemos ultrasonidos materno fetales de alta especialidad, fundamentales para cuidar el bienestar de tu bebé desde el inicio del embarazo. Cada estudio está indicado en una etapa específica y cumple con protocolos internacionales para la detección oportuna de alteraciones estructurales o cromosómicas, así como para la vigilancia del flujo sanguíneo fetal y uterino.

Botón bebé

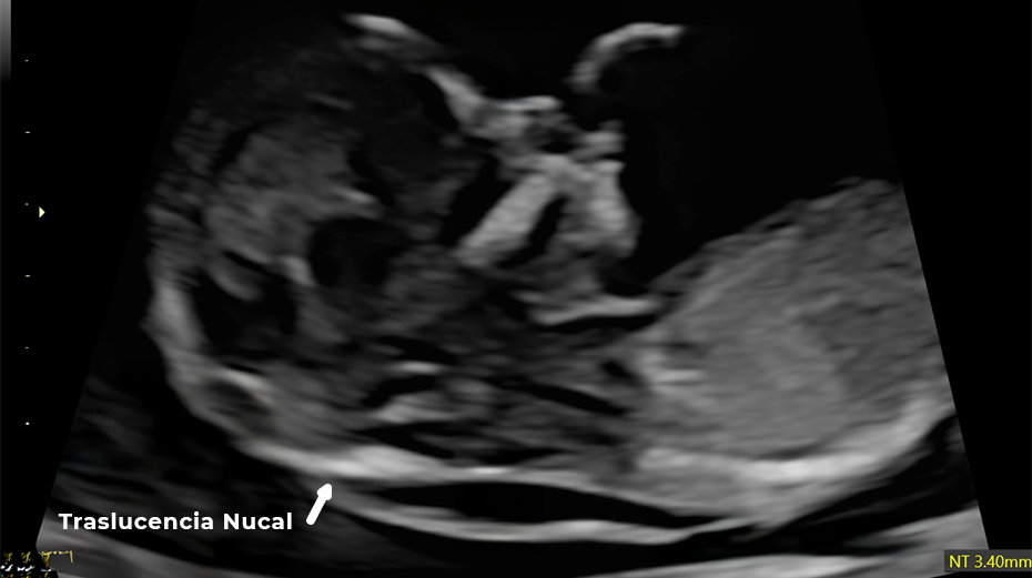
ULTRASONIDO GENÉTICO (11–14 SEMANAS)

Este estudio se realiza en el primer trimestre y es clave para detectar posibles alteraciones cromosómicas como síndrome de Down, trisomía 18 y trisomía 13.

Se evalúan marcadores como:
  • Translucencia Nucal
  • Ductus Venoso y Regurgitación Tricuspídea
  • Hueso Nasal
  • Frecuencia Cardíaca Fetal
Translucencia Nucal Ductus Venoso Hueso Nasal Frecuencia Cardiaca Fetal

Ideal para: mujeres con antecedentes familiares, edad materna avanzada o que buscan una evaluación temprana del desarrollo fetal.

Además, permite estimar el riesgo combinado de alteraciones genéticas al integrar los datos del ultrasonido con análisis de sangre materna. Es una herramienta eficaz y no invasiva para embarazos de bajo o alto riesgo.

Icono de ADN

ULTRASONIDO ESTRUCTURAL (18–24 SEMANAS)

También conocido como ultrasonido anatómico, este estudio se realiza en el segundo trimestre y permite una evaluación detallada de todas las estructuras del bebé:

Ultrasonido bebé
Línea curva decorativa
Cerebro y médula espinal Cerebro y médula espinal activo
Cerebro y médula espinal
Corazón y grandes vasos Corazón y grandes vasos activo
Corazón y grandes vasos
Posición de la placenta y líquido amniótico Posición de la placenta y líquido amniótico activo
Posición de la placenta y cantidad de líquido amniótico
Riñones, estómago, vejiga, huesos largos y cara Riñones, estómago, vejiga, huesos largos y cara activo
Riñones, estómago, vejiga, huesos largos y cara

Este ultrasonido es fundamental para descartar malformaciones congénitas visibles, evaluar el crecimiento fetal y orientar decisiones médicas tempranas en caso de requerir seguimiento o atención especializada.

Recomendado para todas las embarazadas, independientemente del riesgo.

Ultrasonido Doppler en Embarazos de Alto Riesgo

En el tercer trimestre, el Doppler evalúa el flujo sanguíneo entre la placenta, el útero y el bebé, identificando posibles alteraciones en la oxigenación fetal. Es fundamental en embarazos con:

Hipertensión Gestacional o Preeclampsia Icono hipertensión
Icono diabetes Diabetes Gestacional
Embarazos Múltiples Icono embarazos múltiples
Icono restricción crecimiento Restricción del Crecimiento Intrauterino (RCIU)
Equipo de ultrasonido
Imagen de arterias

Arteria Umbilical

Arterias Uterinas

Ductus venoso y arteria cerebral media

Este estudio permite tomar decisiones oportunas sobre el seguimiento, la hospitalización o el momento ideal del nacimiento.

ATENCIÓN MÉDICA ESPECIALIZADA
EN SALUD MATERNO FETAL

Nuestro equipo de médicos especialistas en ginecología y medicina fetal ofrece un acompañamiento integral.

Atendemos desde consultas prenatales rutinarias hasta casos complejos como embarazos de alto riesgo, diabetes gestacional, hipertensión o antecedentes genéticos relevantes.

Consultorio médico
En Amal'Nai, un embarazo informado es un embarazo seguro.
WhatsApp Chatea con nosotros